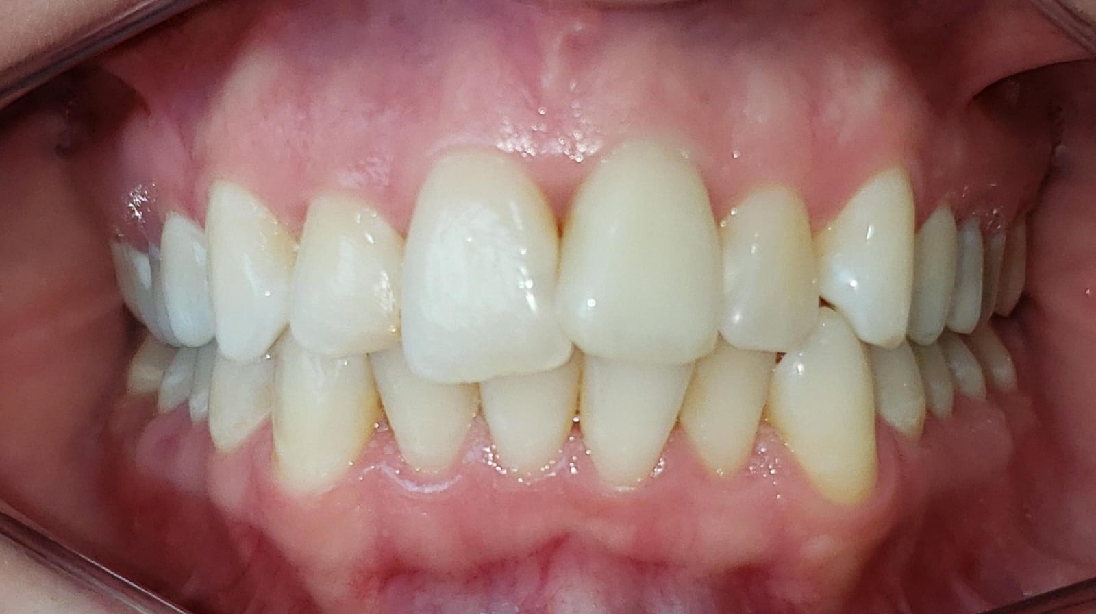
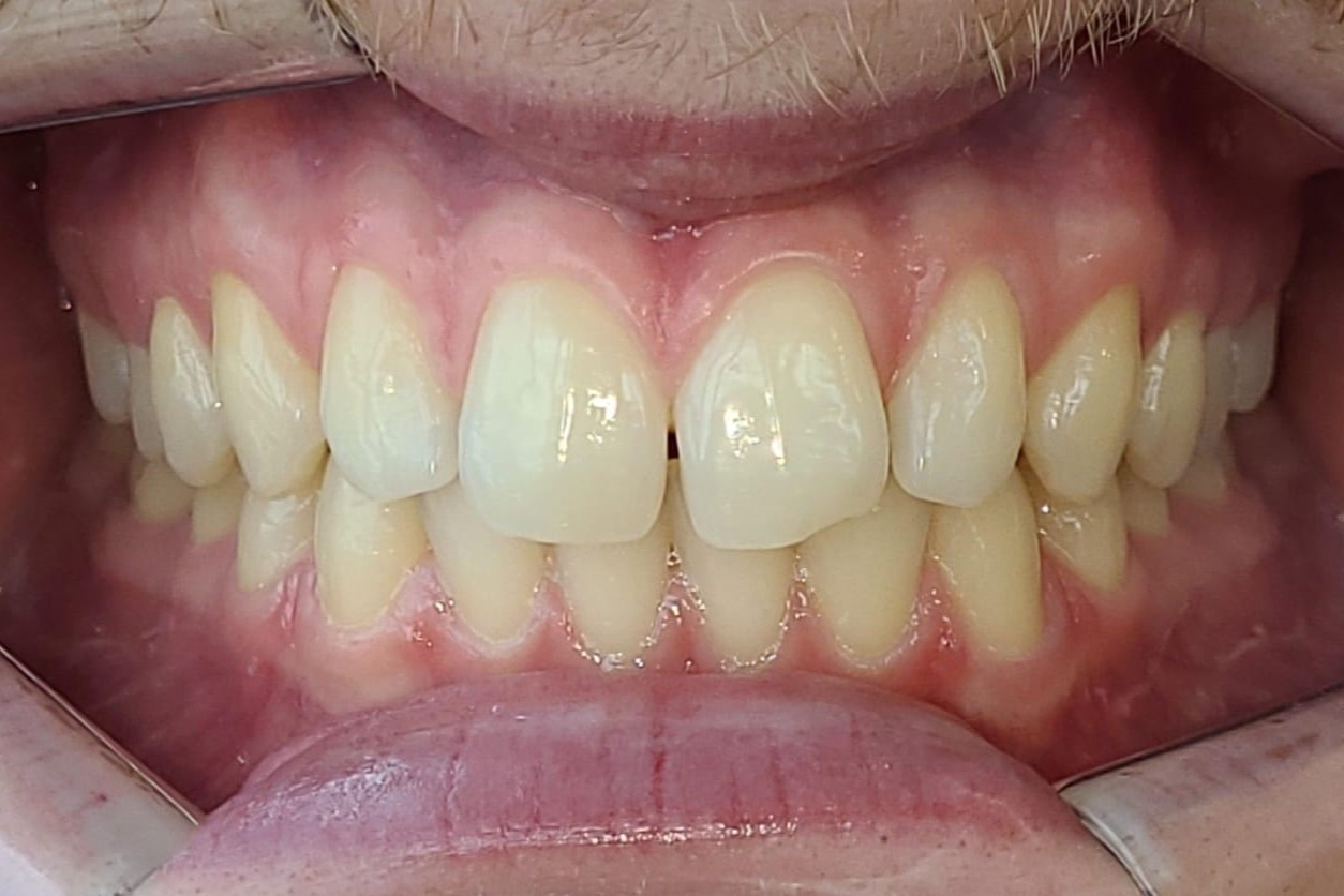
Os aparelhos ortodônticos transparentes da Invisalign® – também conhecidos como ALINHADORES INVÍSIVEIS – são a mais alta tecnologia de tratamento para correção do sorriso, além de ser um aparelho ortodôntico imperceptível, tem como vantagens, ser móvel, ou seja, nada muda em sua rotina e muito, muito confortável.
Para conhecer o tratamento, tirar suas dúvidas e saber mais detalhes sobre o Invisalign® para seu caso, entre em contato com nosso ATENDIMENTO PERSONALIZADO para agendar e realizar sua consulta inicial de avaliação.
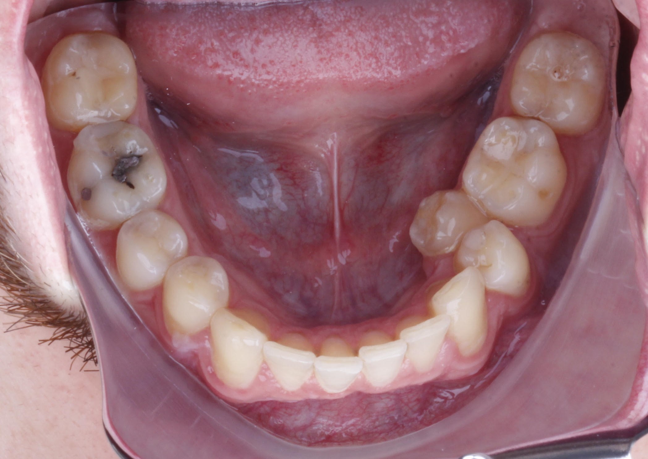
Nessa consulta, além da AVALIAÇÃO ODONTOLÓGICA COMPLETA, você vivenciará uma experiência digital com o escaneamento intraoral, podendo VISUALIZAR IMEDIATAMENTE como ficará o RESULTADO FINAL do tratamento e saberá também, qual será o investimento para seu tratamento completo.
Descubra você também porque somos a Clínica Odontológica com a MAIOR QUANTIDADE DE CASOS TRATADOS com os Alinhadores Invisalign na região!
Dra. Andreza Sgrott – Ortodontista
Invisalign TOP DOCTOR 2021/22/23/24/25.



