Laminados Cerâmicos

Meus dentes estão desgastados e manchados.

Qual a melhor opção de tratamento?

Os laminados cerâmicos cerâmicos são a melhor escolha na construção de sorrisos harmônicos e impecáveis, devido à naturalidade e aos resultados marcantes nas correções de cor e forma dos dentes.

As principais indicações são: modificações na forma, comprimento, uniformização nas cores dos dentes, recuperação de dentes quebrados e fechamento de espaços entre dentes.

A cor fica natural?

As cerâmicas modernas nos permitem copiar a natureza em sua forma e coloração, devolvendo ao dente, sua cor e contorno.

Elas mancham?

As cerâmicas têm alta resistência ao amarelamento e ao manchamento.

Precisa de substituição?

Temos uma estimativa de que, após 10 anos, apenas 4% dos trabalhos precisam ser substituídos — desde que as escovações e o fio dental estejam em dia, e as manutenções periódicas sejam realizadas regularmente!

Qual a diferença entre lente de contato dental e faceta dental?

A diferença entre a lente de contato dental e a faceta dental está basicamente na espessura. Uma lente de contato tem até 0,5 mm de espessura, enquanto a faceta pode ter até 2 mm de espessura.

É possível simular o resultado do meu sorriso com as lentes de contato dental?

É possível sim! Por meio de um software, fazemos o planejamento virtual e uma simulação em boca. Assim, o cliente consegue visualizar o resultado.

Quais são os pré-requisitos para fazer esse tipo de tratamento?

O pré-requisito básico é estar com a saúde bucal em dia, ou seja, sem inflamação gengival, sem tártaros, com tratamentos endodônticos realizados quando há a necessidade, e ausência de cáries.

Qual a importância funcional da correção da oclusão com as próteses?

A importância funcional das lentes, facetas e coroas em porcelana está em reconstruir a capacidade de realizar os movimentos protrusivos e a lateralidade, de maneira a proteger a oclusão como um todo, trazendo ao cliente eficiência e conforto mastigatório.

Eu tenho bruxismo. Posso fazer dentes de porcelana?

Sim. Nesses casos, fazemos uma placa miorrelaxante para tratar o bruxismo e proteger as suas próteses.

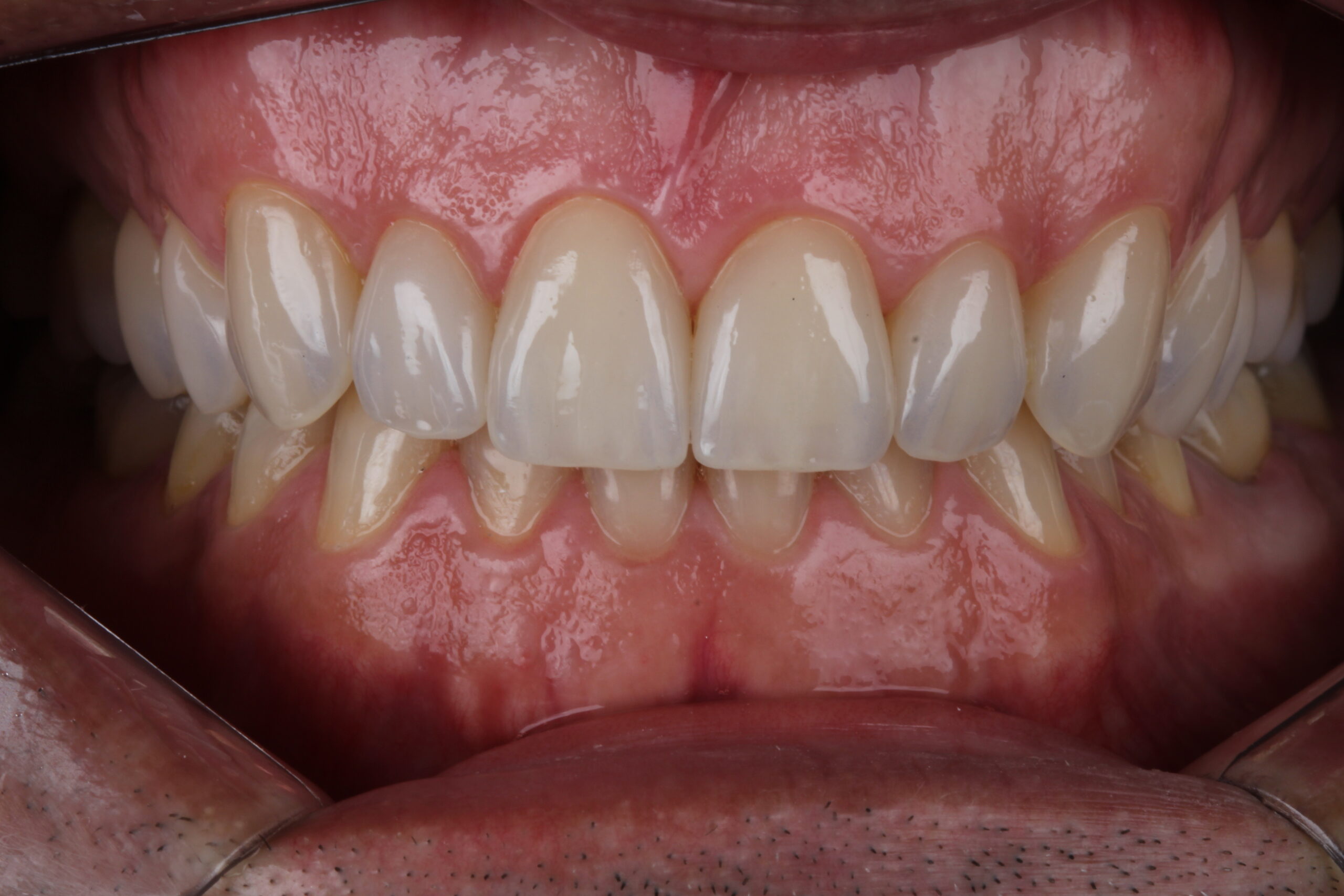
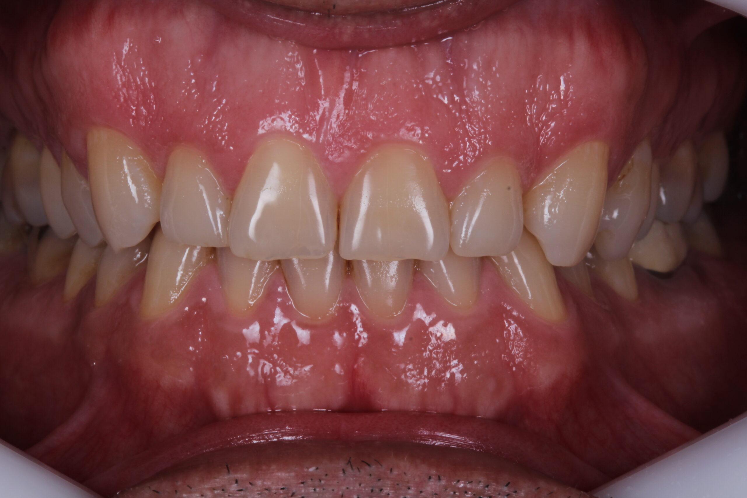
ANTES E DEPOIS FACETAS

CASO 1

ANTES / DEPOIS

CASO 2

ANTES / DEPOIS

CASO 3

ANTES / DEPOIS